درمان تنبلی تخمدان
درمان تنبلی تخمدان؛ رویکردهای علمی، پایدار و واقعبینانه برای بازگرداندن تعادل هورمونی
تنبلی تخمدان یا سندرم تخمدان پلیکیستیک (PCOS) یکی از شایعترین اختلالات هورمونی در زنان سنین باروری است؛ اختلالی که نهتنها چرخه قاعدگی و باروری را تحت تأثیر قرار میدهد، بلکه متابولیسم، سلامت روان، وزن بدن و کیفیت زندگی را نیز درگیر میکند. برخلاف تصور رایج، درمان تنبلی تخمدان یک مسیر تکبعدی و کوتاهمدت نیست، بلکه فرایندی چندوجهی و تدریجی است که نیازمند درک درست بدن و انتخاب راهکارهای پایدار است.
این مقاله به بررسی واقعبینانه و علمی روشهای درمان تنبلی تخمدان میپردازد؛ از اصلاح سبک زندگی و تغذیه گرفته تا درمانهای دارویی و رویکردهای مکمل، با تمرکز بر آنچه واقعاً مؤثر است، نه وعدههای زودگذر.

تنبلی تخمدان چیست و چرا درمان آن پیچیده است؟
تنبلی تخمدان یک اختلال هورمونی–متابولیک است که معمولاً با عدم تعادل بین هورمونهای زنانه و مردانه، مقاومت به انسولین و اختلال در تخمکگذاری همراه است. علائم شایع آن شامل:
-
نامنظم بودن یا قطع قاعدگی
-
افزایش آندروژنها (هورمونهای مردانه)
-
آکنه، ریزش مو یا پرمویی
-
افزایش وزن یا دشواری در کاهش وزن
-
خستگی مزمن
-
نوسانات خلقی و اضطراب
-
مشکلات باروری
نکته مهم این است که PCOS فقط یک مشکل تخمدانی نیست؛ بلکه چندین سیستم بدن از جمله سیستم غدد درونریز، متابولیسم و سیستم عصبی را درگیر میکند. به همین دلیل، درمان موفق آن نیازمند رویکردی جامع است.

آیا درمان قطعی برای تنبلی تخمدان وجود دارد؟
در حال حاضر، تنبلی تخمدان بهعنوان یک اختلال مزمن شناخته میشود، نه بیماریای با درمان یکباره.
اما این به معنای ناتوانی در کنترل یا بهبود آن نیست.
واقعیت این است که:
-
درمان تنبلی تخمدان به معنی مدیریت مؤثر و پایدار علائم است
-
بسیاری از زنان با رویکرد صحیح، به چرخه قاعدگی منظم، کاهش علائم و حتی بارداری موفق میرسند
-
کیفیت زندگی میتواند بهطور قابل توجهی بهبود یابد
بنابراین، هدف درمان، بازگرداندن تعادل هورمونی و متابولیک است، نه صرفاً حذف یک علامت خاص.

اصلاح سبک زندگی؛ پایه اصلی درمان تنبلی تخمدان
هیچ روش درمانی بدون اصلاح سبک زندگی نتایج ماندگار ایجاد نمیکند. این بخش، زیربنای تمام درمانهاست.
تغذیه متعادل و هدفمند
رژیم غذایی نقش مستقیم در تنظیم انسولین و هورمونها دارد.
اصول کلی شامل:
-
کاهش مصرف قندهای ساده و غذاهای فرآوریشده
-
افزایش مصرف فیبر، سبزیجات و پروتئین باکیفیت
-
توزیع مناسب وعدههای غذایی در طول روز
-
توجه به شاخص گلیسمی مواد غذایی
هدف، کنترل نوسانات قند خون و کاهش مقاومت به انسولین است.
فعالیت بدنی منظم
ورزش منظم، حتی در حد متوسط، میتواند تأثیر چشمگیری داشته باشد.
فواید آن:
-
افزایش حساسیت به انسولین
-
کمک به کاهش وزن پایدار
-
بهبود تخمکگذاری
-
کاهش استرس
فعالیتهایی با شدت متوسط و تداوم بالا معمولاً مؤثرتر از تمرینات شدید و مقطعی هستند.

نقش کاهش استرس در درمان تنبلی تخمدان
استرس مزمن یکی از عوامل پنهان اما بسیار مؤثر در تشدید علائم PCOS است. افزایش کورتیزول میتواند تعادل هورمونی را بر هم بزند و پاسخ بدن به درمان را تضعیف کند.
کاهش استرس میتواند:
-
عملکرد محور مغز–تخمدان را بهبود دهد
-
چرخه قاعدگی را منظمتر کند
-
میل به پرخوری را کاهش دهد
-
سلامت روان را ارتقا دهد
مدیریت استرس یک بخش جدی از درمان محسوب میشود، نه یک توصیه فرعی.
درمان دارویی تنبلی تخمدان؛ چه زمانی و چگونه؟
در برخی موارد، پزشک برای کنترل علائم خاص از دارو استفاده میکند. این داروها بسته به شرایط فردی تجویز میشوند و معمولاً شامل موارد زیر هستند:
-
داروهای تنظیمکننده چرخه قاعدگی
-
داروهای بهبود حساسیت به انسولین
-
داروهای کاهش آندروژن
-
داروهای تحریک تخمکگذاری در صورت تمایل به بارداری
نکته مهم این است که داروها معمولاً بخشی از درمان هستند، نه تمام آن. بدون اصلاح سبک زندگی، اثر آنها موقتی خواهد بود.

درمان تنبلی تخمدان و بارداری؛ آیا امکانپذیر است؟
بسیاری از زنان مبتلا به تنبلی تخمدان نگران باروری هستند. واقعیت این است که:
-
PCOS به معنای ناباروری قطعی نیست
-
با درمان صحیح، بسیاری از زنان بارداری موفق دارند
-
حتی بدون درمانهای تهاجمی، در برخی موارد تخمکگذاری بازمیگردد
کنترل وزن، تنظیم قند خون، کاهش استرس و پیگیری پزشکی منظم نقش مهمی در افزایش شانس بارداری دارند.
نقش رویکردهای مکمل در درمان تنبلی تخمدان
در کنار درمانهای پزشکی، برخی رویکردهای مکمل میتوانند به بهبود شرایط کمک کنند؛ به شرطی که آگاهانه و در کنار درمان اصلی استفاده شوند.
این رویکردها شامل:
-
تمرینات ذهن–بدن
-
بهبود کیفیت خواب
-
تنظیم ریتم شبانهروزی
-
توجه به سلامت روان
این روشها جایگزین درمان پزشکی نیستند، اما میتوانند اثربخشی آن را افزایش دهند.

چرا درمان تنبلی تخمدان نیاز به صبر دارد؟
بدن برای بازسازی تعادل هورمونی به زمان نیاز دارد. انتظار تغییرات سریع معمولاً منجر به ناامیدی میشود.
بهطور معمول:
-
کاهش استرس و بهبود انرژی در هفتههای اول دیده میشود
-
تنظیم چرخه قاعدگی طی چند ماه اتفاق میافتد
-
بهبود متابولیک و هورمونی نیازمند تداوم است
درمان موفق، نتیجه تکرار انتخابهای درست در طول زمان است.
اشتباهات رایج در مسیر درمان تنبلی تخمدان
برخی خطاها میتوانند روند درمان را مختل کنند:
-
تمرکز فقط روی دارو
-
تغییر مداوم روش درمان بدون فرصت اثرگذاری
-
پیروی از رژیمهای سخت و ناپایدار
-
نادیده گرفتن سلامت روان
-
مقایسه بدن خود با دیگران
درمان تنبلی تخمدان باید شخصیسازیشده و واقعبینانه باشد.
تنبلی تخمدان (PCOS) چیست؟
بررسی علمی، علائم، علل و روشهای درمان
تنبلی تخمدان یا سندروم تخمدان پلیکیستیک (Polycystic Ovary Syndrome – PCOS) یکی از شایعترین اختلالات هورمونی در زنان سن باروری است که میتواند بر قاعدگی، باروری، متابولیسم و سلامت عمومی بدن تأثیر بگذارد. این بیماری تنها یک مشکل زنانگی نیست؛ بلکه یک اختلال سیستمیک و متابولیک محسوب میشود.

تعریف پزشکی تنبلی تخمدان
PCOS زمانی تشخیص داده میشود که حداقل دو مورد از سه معیار زیر وجود داشته باشد (معیارهای روتردام):
-
اختلال یا قطع تخمکگذاری (پریود نامنظم یا قطع قاعدگی)
-
افزایش هورمونهای مردانه (آندروژنها) بهصورت بالینی یا آزمایشگاهی
-
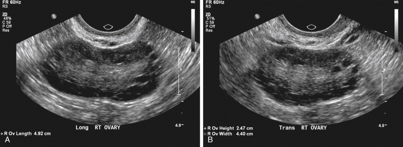
ظاهر پلیکیستیک تخمدانها در سونوگرافی
نکته مهم:
وجود کیست در تخمدان بهتنهایی به معنی تنبلی تخمدان نیست.
علائم شایع تنبلی تخمدان
علائم PCOS از فردی به فرد دیگر متفاوت است، اما شایعترین آنها عبارتاند از:
-
پریود نامنظم یا قطع قاعدگی
-
رشد موهای زائد (صورت، چانه، شکم، سینه)
-
آکنه مقاوم به درمان
-
ریزش موی الگوی مردانه
-
افزایش وزن یا سختی در کاهش وزن
-
ناباروری یا تأخیر در بارداری
-
خستگی مزمن و نوسانات خلقی
علت تنبلی تخمدان چیست؟
علت دقیق PCOS هنوز بهطور کامل مشخص نیست، اما عوامل زیر نقش کلیدی دارند:
1. مقاومت به انسولین
بیش از 70٪ مبتلایان به PCOS دچار درجاتی از مقاومت به انسولین هستند که باعث:
-
افزایش ترشح آندروژنها
-
اختلال در تخمکگذاری
-
افزایش وزن شکمی
2. اختلالات هورمونی
افزایش هورمون LH نسبت به FSH باعث توقف بلوغ فولیکولها و تخمکگذاری میشود.
3. عوامل ژنتیکی
سابقه خانوادگی نقش مهمی در بروز این سندرم دارد.
تنبلی تخمدان و ناباروری
PCOS یکی از شایعترین علل ناباروری قابل درمان است.
با مدیریت صحیح، بسیاری از زنان مبتلا به این سندرم میتوانند بارداری موفق داشته باشند.
روشهای تشخیص تنبلی تخمدان
تشخیص بر اساس مجموعهای از بررسیها انجام میشود:
-
شرح حال و معاینه بالینی
-
آزمایش خون (LH، FSH، تستوسترون، انسولین، قند خون)
-
سونوگرافی تخمدانها
-排除 سایر علل اختلالات هورمونی (مانند مشکلات تیروئید)
درمان تنبلی تخمدان (PCOS)
درمان قطعی وجود ندارد، اما کنترل و مدیریت بلندمدت کاملاً ممکن است.
1. اصلاح سبک زندگی (پایه درمان)
-
کاهش وزن حتی به میزان 5–10٪
-
رژیم غذایی کمقند و کمکربوهیدرات ساده
-
فعالیت بدنی منظم (حداقل 150 دقیقه در هفته)
2. درمان دارویی (با نظر پزشک)
-
متفورمین برای بهبود مقاومت به انسولین
-
قرصهای تنظیمکننده قاعدگی
-
داروهای تحریک تخمکگذاری در صورت تمایل به بارداری
3. درمانهای مکمل
-
مدیریت استرس
-
خواب منظم
-
فعالیتهایی مانند یوگا و تمرینات تنفسی (بهعنوان درمان کمکی، نه جایگزین)
عوارض عدم درمان PCOS
در صورت عدم کنترل، تنبلی تخمدان میتواند خطر ابتلا به موارد زیر را افزایش دهد:
-
دیابت نوع 2
-
بیماریهای قلبی-عروقی
-
چربی خون
-
ضخیم شدن دیواره رحم
-
افسردگی و اضطراب مزمن
تنبلی تخمدان یک بیماری پیچیده اما قابل کنترل است. تشخیص زودهنگام، اصلاح سبک زندگی و پیگیری پزشکی منظم، نقش تعیینکنندهای در کیفیت زندگی و سلامت باروری زنان دارد.
PCOS پایان راه نیست؛ شروع یک مسیر آگاهانه برای مراقبت بهتر از بدن است.
جمعبندی؛ درمان تنبلی تخمدان یک مسیر آگاهانه، نه یک نسخه فوری
درمان تنبلی تخمدان به معنای جنگ با بدن نیست؛ بلکه یادگیری همکاری با آن است.
وقتی رویکرد درمانی شامل اصلاح سبک زندگی، مدیریت استرس، تغذیه مناسب، فعالیت بدنی منظم و پیگیری پزشکی آگاهانه باشد، بدن بهتدریج به تعادل نزدیک میشود.
این مسیر شاید سریع نباشد، اما پایدار است.
و مهمتر از همه، به زن کمک میکند کنترل دوبارهای بر بدن و زندگی خود بهدست آورد.
دهدارو | خرید آنلاین از داروخانه به سادگی هر چه تمام